
マウスピース型矯正装置 インビザライン で八重歯が浮く時の対処法 大宮駅2分 大宮shin矯正歯科

歯列矯正経過 部分矯正 上顎のみ矯正 八重歯 乱杙歯 前歯 Smiley 歯列矯正 歯のお話

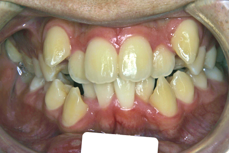
さくらい歯列矯正歯科症例集 スマイル さくらい歯列矯正歯科二子玉川 二子玉川駅から徒歩2分 土日も診療
八重歯 矯正 経過 のギャラリー

八重歯 石井歯科矯正歯科医院

調整日9回目 25歳の歯列矯正 牙的八重歯

矯正歯科について 公益社団法人 日本矯正歯科学会

八重歯 ガタガタ でこぼこ を抜かずに矯正したい 白数デンタルオフィス 噛み合わせを考えたインプラントと矯正歯科

茨城県石岡市 社会人 女性 叢生 八重歯 乱ぐい歯 上顎前突 出っ歯 過蓋咬合 茨城県石岡市の矯正歯科なら横川矯正歯科

ハーフリンガル 上のみ裏側矯正 院長ブログ 症例集 ワダ矯正歯科

画像で見る 矯正装置をつけて2ヶ月の経過と変化 矯正美人

八重歯 1ヶ月の動き 八重歯 歯列矯正観察 コスメ使い切りブログ

叢生 症状と治療 スマイルガイド 矯正歯科の正しい選択を応援するサイト

インビザライン抜歯矯正 八重歯 前歯ガタガタ 過蓋咬合 マウスピース矯正の後に上顎前歯の補綴治療 Youtube

八重歯 インビザライン矯正の症例 中野の歯医者 歯科 いぐみ歯科 矯正歯科

インビザライン矯正の治療例と症例 東京 銀座クリアデンタル

八重歯 1ヶ月の動き 八重歯 歯列矯正観察 コスメ使い切りブログ

18 4 15 裏側矯正 経過画像 28歳主婦 八重歯裏側矯正時々手術

矯正ブログ 人気記事 一般 アメーバブログ アメブロ

戸塚 矯正歯科 歯科 歯医者 横浜市 戸塚区 泉区 栄区のアポロ歯科 矯正歯科 治療例

矯正経過 Instagram Posts Gramho Com

矯正臨床例 日宇歯科 矯正歯科

矯正1年以上経過 横顔も るったん Note

歯列矯正 八重歯よ整列せよ 楽天ブログ

部分矯正 山口県 山陽小野田市の公園通り歯科 予防歯科 矯正治療

矯正治療症例 医療法人社団 ハートデンタルクリニック 歯科 矯正 審美 予防 24時間web予約可能な都城の歯医者です
院長blog 常滑市 知多市の矯正歯科 歯科 久野歯科医院 成人矯正や歯科治療に対応

僕が大人になってから100万円をかけて歯列矯正を始めた唯一の理由 もやしっ子 世に憚る

八重歯矯正 人気記事 一般 アメーバブログ アメブロ

らふぁ君 減量 歯列矯正 در توییتر 矯正経過 注意 この垢では初めての報告なので グロいの無理な ダイエット垢さんごめんなさい スルーして下さい 7ヶ月で前歯に隠れてた子も出てきて 八重歯も大人しくなりました 矯正したら痩せる

矯正歯科アーカイブ 奈良市学園前駅の矯正歯科なら美希デンタルクリニック

叢生 ガタガタ 八重歯 乱ぐい歯 不正咬合 広島中央矯正歯科は広島市中区八丁堀にある矯正歯科専門の診療所です

矯正歯科 埼玉県上尾市の歯科 歯医者なら オハナ歯科クリニック

歯列矯正事情 裏側矯正 八重歯 経過画像 比較画像 感想17 04 22 2カ月目 ぐんぐん動いてます Mikilog

叢生歯列 そうせいしれつ 八重歯 乱杭歯 矯正治療例

調整日12回目 25歳の歯列矯正 牙的八重歯

さくらい歯列矯正歯科症例集 スマイル さくらい歯列矯正歯科二子玉川 二子玉川駅から徒歩2分 土日も診療

八重歯を抜歯して治療した例 14歳男性 矯正歯科ネット

歯列矯正のススメ 矯正2年め 私の体験談 Nylonブログ ファッション ビューティ カルチャー情報

八重歯 ガタガタ でこぼこ を抜かずに矯正したい 白数デンタルオフィス 噛み合わせを考えたインプラントと矯正歯科

調整日3回目 25歳の歯列矯正 牙的八重歯

部分矯正について 豊中市の にしお歯科 千里中央駅徒歩5分

八重歯 ガタガタ でこぼこ を抜かずに矯正したい 白数デンタルオフィス 噛み合わせを考えたインプラントと矯正歯科

叢生 八重歯症例 青山審美会歯科矯正クリニック 史上最強のdr Navi
Q Tbn 3aand9gcrmpfjr43v7qouka6n77iflsofr2bndqmfpzbngy 7ielr1ki3h Usqp Cau

歯列矯正 八重歯が気になる歯並びの治療 治療経過 歯科相談室 新潟 長岡 ムシ歯 銀歯 口臭のお悩みはブレス デザイン

戸塚 矯正歯科 歯科 歯医者 横浜市 戸塚区 泉区 栄区のアポロ歯科 矯正歯科 治療例

30代 女性 マルチブラケット 八重歯 院長ブログ 症例集 ワダ矯正歯科

八重歯 凸凹歯並びの歯列矯正治療例 期間 港区虎ノ門 新橋の矯正歯科

マウスピース型矯正装置 インビザライン で八重歯が浮く時の対処法 大宮駅2分 大宮shin矯正歯科

11 12 14 福岡 天神のしもだ矯正歯科クリニック

八重歯 叢生 と歯列のズレを抜歯しないで矯正した例 矯正歯科ネット

矯正歯科 宇都宮市の歯科医院は桧山歯科クリニック
Q Tbn 3aand9gcrf Udkunoujvayo8kstvqfb5d5shktgvp2zdm Lspjgyrgxavv Usqp Cau

気になる八重歯の動き カレブラン Carre Blanc 矯正歯科 恵比寿

八重歯 乱ぐい歯 でお悩みの方 矯正でキレイに治ります

山音美結 در توییتر せっかくなので 矯正経過を載せます 歯列矯正始めてから 顔が小さくなった 笑顔が良くなった と言われることが増えました 私も日々の変化に 自然に口角をあげられるようになりました 大変なこと沢山だけど 残り期間も頑張る いい歯

対応できる歯並びと症例 キレイライン矯正 キレイライン矯正

矯正始めて半年 経過まとめ 24歳 八重歯 二重歯列矯正ブログ 18

叢生 八重歯症例 青山審美会歯科矯正クリニック 史上最強のdr Navi

八重歯は部分矯正で治る 期間を短く費用も抑えられる八重歯の矯正

歯列矯正開始18ヶ月経過ルポ Blog 美のススメ
Q Tbn 3aand9gctdlukcpkrqlbb57ho Wnn8ikpsjxias3gsewzxoegbirqbekgh Usqp Cau

歯を抜く矯正 抜かない矯正 宮崎台やすい矯正歯科クリニック

矯正治療症例 医療法人社団 ハートデンタルクリニック 歯科 矯正 審美 予防 24時間web予約可能な都城の歯医者です

中学生からの矯正について 豊中市の にしお歯科 千里中央駅徒歩5分
Q Tbn 3aand9gcrvvcd2osq Q9ylu4sjlk9ryhafvvkooejkuilbu6po2ckou Usqp Cau

前歯が重なっている八重歯の矯正治療例 大学生 治療期間1年7ヶ月 国立市の歯医者 壱番館デンタルオフィス

がたがた 叢生 の矯正 見えない矯正 舌側矯正 もりた歯科 矯正歯科 広島市中区基町

八重歯を抜いて下さい 六本木駅前歯科の症例紹介 六本木交差点スグの歯医者 六本木駅前歯科

でこぼこ 15歳 女性 25年後経過写真 モンテ矯正歯科クリニック まちの歯ならび かみ合わせ相談室 福岡市東区

マウスピース型矯正装置 インビザライン で八重歯が浮く時の対処法 大宮駅2分 大宮shin矯正歯科

叢生 石井歯科矯正歯科医院
矯正症例 13年7月 症例集

上下八重歯とおさらば日記 24歳からの歯列矯正

歯を抜く矯正 抜かない矯正 宮崎台やすい矯正歯科クリニック
院長blog 常滑市 知多市の矯正歯科 歯科 久野歯科医院 成人矯正や歯科治療に対応

矯正経過のご紹介 Esca Blog 名古屋駅すぐのエスカ歯科 矯正歯科

スタッフの矯正記録 4ヶ月経過 名古屋名駅アール歯科 矯正歯科 名古屋の矯正インプラント審美歯科

八重歯 ガタガタ でこぼこ を抜かずに矯正したい 白数デンタルオフィス 噛み合わせを考えたインプラントと矯正歯科

2年経過症例 後戻りの少ない非抜歯矯正 医 精密審美会

戸塚 矯正歯科 歯科 歯医者 横浜市 戸塚区 泉区 栄区のアポロ歯科 矯正歯科 治療例

初診時から約10年経過した成人女性症例 八重歯 ガタガタ について プロ先生の歯列矯正日記

歯列矯正歯科の治療費用 料金と症例別写真 しんゆり矯正歯科 神奈川県川崎市の歯医者

矯正治療 医療法人社団think 我孫子健康歯科

子供の矯正 叢生歯列弓case3 100症例の信頼 Jso 日本歯科矯正専門医学会

矯正1年以上経過 横顔も るったん Note

東近江 近江八幡 彦根 矯正歯科 小児歯科 佐々木歯科医院 最近の治療例 八重歯を早期に改善した 女子高校生 治療例

スタッフの矯正終了 名古屋名駅アール歯科 矯正歯科 名古屋の矯正インプラント審美歯科

八重歯もスッキリ 福岡市博多区博多駅近くの矯正歯科 審美歯科さあデンタルクリニック

前歯が重なっている八重歯の矯正治療例 大学生 治療期間1年7ヶ月 国立市の歯医者 壱番館デンタルオフィス

茨城県小美玉市 中学生 男性 叢生 八重歯 乱ぐい歯 上顎前突 出っ歯 上下顎前突 茨城県石岡市の矯正歯科なら横川矯正歯科

八重歯 石井歯科矯正歯科医院

八重歯が 25歳の歯列矯正 牙的八重歯

上下抜歯でインビザラインで治療した症例 重度の叢生 大分の矯正歯科なら新港イトセ歯科

叢生 八重歯症例 青山審美会歯科矯正クリニック 史上最強のdr Navi

子供の八重歯 叢生の矯正治療例 千葉県柏市で歯列矯正なら柏kt矯正歯科

歯列矯正レポ 1ヶ月経過 バブ子のこすめれぽ

歯列矯正治療 通院24回目 わたし 矯正しますっ 歯の矯正日記byかんち

さくらい歯列矯正歯科症例集 スマイル さくらい歯列矯正歯科二子玉川 二子玉川駅から徒歩2分 土日も診療

7 2 裏側矯正経過画像 28歳主婦 八重歯裏側矯正時々手術

気になる八重歯の動き カレブラン Carre Blanc 矯正歯科 恵比寿

東近江 近江八幡 彦根 矯正歯科 小児歯科 佐々木歯科医院 最近の治療例 八重歯を早期に改善した 女子高校生 治療例

八重歯 叢生 凸凹 の歯並び矯正治療 東京都港区麻布十番のuc矯正歯科

八重歯 ガタガタ でこぼこ を抜かずに矯正したい 白数デンタルオフィス 噛み合わせを考えたインプラントと矯正歯科


 
        
